¿Qué es una arritmia? Arritmia de refiere a cualquier trastorno que implique una pérdida transitoria o permanente del ritmo normal del corazón; es decir, la regularidad de los latidos cardiacos. ¿Qué síntomas producen las arritmias?
Pueden ocurrir de manera totalmente silente o asintomática o bien, pueden producir palpitaciones o ligeras molestias en el pecho; mucho menos frecuentemente, otros síntomas referidos al corazón como desmayos, dolor de pecho y hasta paro cardíaco.
¿Qué pronóstico implica ser portador de una arritmia?
¿Cuáles son las principales entidades clínicas dentro del grupo de las arritmias cardiacas?
Las “extrasístoles” ventriculares o auriculares son las más frecuentes; el bloqueo atrioventricular, la enfermedad del nodo sinusal, el sindrome de Wolf-Parkinson-White, la taquicardia paroxística supraventricular y muchas otras.¿A quiénes se les coloca marcapasos?
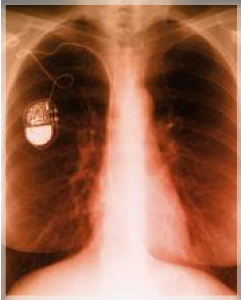
A aquellos pacientes cuyo número de pulsaciones es insuficiente para cubrir las demandas circulatorias de nuestro cuerpo. En la actualidad los marcapasos estimulan tanto atrios como ventrículos (las cavidades del corazón) lográndose un funcionamiento más fisiológico; además los que aumentan su frecuecnia de pulsaciones según la demanda del organismo, como por ejemplo, durante el ejercicio físico y muchas otras funciones que se programan según las necesidades de cada paciente.¿A quienes se les coloca un cardiodesfibrilador implantable?
Este dispositivo que se parece a un marcapasos, realiza además otras funciones; se implanta en personas que han tenido un paro cardiaco y han sido existosamente recuperadas. También a quienes no hayan sufrido este tipo de evento, pero que se presuma que exista un alto riesgo de padecerlo.¿Qué es un estudio electrofisiológico?
Consiste en la introducción de catéteres (es un cateterismo)a través de las venas periféricas hasta el corazón y registrar la actividad eléctrica al igual que con un electrocardiograma pero desde el interior del corazón.¿A quiénes se le realiza?
A aquellos pacientes portadores de arritmias (alteraciones del ritmo del corazón), como las taquicardias (aceleración del número de latidos cardiacos, como en el sindrome de Wolf-Parkinson-White) o bradicardias (enlentecimiento de los latidos cardiacos como en el bloqueo atrioventricular)¿Que infromación proporciona?
Por tratarse de un procedimiento invasivo, proporciona el diagnóstico definitvo del tipo de arritmia subyacente, permite la identificación de las estructuras responsables de ella y la factibilidad de realizar ablación con radiofrecuencia.¿Que es la Ablación con radiofrecuencia?
Es un tipo especial de energía eléctrica que proporciona calor, la que aplicada a través de un catéter especial, produce una "cauterización localizada" en el interior del corazón, erradicando así el circuito eléctrico responsable de la arritmia en forma definitiva.




